Hand Injuries
What Are Hand Injuries?
Hand injuries involve damage to the bones, joints, ligaments, tendons, nerves, or skin of the hand. They can occur due to accidents, sports, falls, or work-related trauma. Because the hand is vital for daily activities, even minor injuries can significantly affect function and quality of life.
Common Hand Injuries
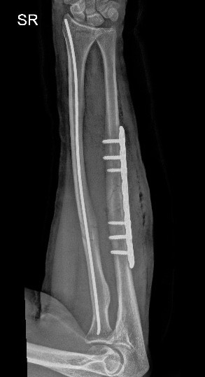
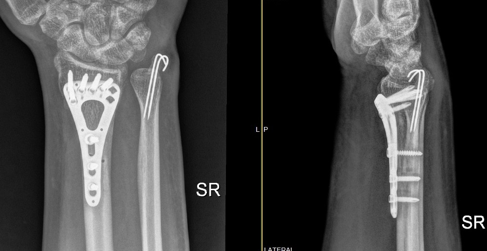
Fractures: Broken bones in fingers, metacarpals, or wrist
Dislocations: Bones forced out of their normal position
Tendon Injuries: Damage to flexor or extensor tendons affecting movement
Ligament Tears: Ligaments that stabilize joints may stretch or tear
Nerve Injuries: Tingling, numbness, or weakness due to nerve damage
Cuts and Lacerations: Deep cuts requiring sutures or surgery
Burns and Crush Injuries: Causing tissue damage or joint stiffness
Symptoms & Signs
Pain, swelling, or bruising
Deformity or misalignment of fingers or wrist
Difficulty moving fingers or gripping objects
Numbness or tingling
Weakness or instability of the hand or wrist
Diagnosis
Clinical Examination: Checking movement, strength, and sensation
X-rays: To detect fractures or dislocations
MRI/Ultrasound: For tendon, ligament, or nerve injuries
Electrodiagnostic Tests: For nerve-related problems
Treatment Options
Medications: Pain relief and anti-inflammatory medications
Immobilization: Splints or casts for fractures and mild injuries
Physiotherapy: Exercises to restore strength, flexibility, and function
Surgery:
Repair of fractures, dislocations, tendons, or ligaments
Nerve repair or reconstruction
Correction of deformities or severe injuries
Postoperative Rehabilitation: Vital for regaining full function
Why Choose
Dr.Mohit for Hand Injuries?
Expertise in complex hand and wrist injuries
Advanced surgical techniques for fractures, tendon, ligament, and nerve repair
Personalized rehabilitation programs for quick recovery and return of function
Focus on restoring dexterity, strength, and quality of life










