Bone Deformities
What are Bone Deformities?
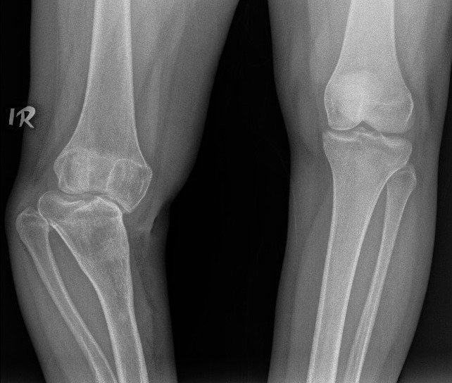
Bone deformities occur when bones develop abnormally or are misaligned. They can be congenital (present at birth), caused by growth disturbances, or develop later due to trauma, infections, or untreated fractures. Deformities can affect appearance, function, and mobility, and may cause pain or difficulty in daily activities.
Common Types of Bone Deformities
Angular Deformities: Bones bend at abnormal angles, like bow legs or knock knees.
Limb Length Differences: One limb is shorter than the other due to growth issues or injury.
Spinal Deformities: Conditions like scoliosis (sideways curvature) or kyphosis (hunchback).
Post-Traumatic Deformities: Resulting from fractures that healed incorrectly.
Symptoms & Signs
Visible abnormal shape or bend in the limb or bone
Uneven limb length or gait problems
Difficulty walking, running, or performing daily activities
Pain or discomfort in affected joints or muscles
Recurrent injuries due to instability
Diagnosis
Clinical Examination: Assessment of limb alignment, posture, and gait
X-rays: To see bone shape and angles
CT or MRI scans: For complex deformities or planning surgery
Growth Assessment (in children): To evaluate potential correction as bones grow
Treatment Options
Observation & Physiotherapy: Mild deformities may be managed with exercises to improve strength, posture, and function
Orthotic Devices: Braces or supports to improve alignment or function
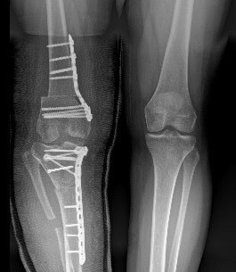
Surgical Correction:
Osteotomy: Cutting and realigning bones
Bone Lengthening: Using external fixators (like Ilizarov) for limbs with length discrepancy
Deformity Correction: Correcting angular or rotational abnormalities for better function and appearance
Why Choose
Dr.Mohit for Bone Deformities?
Expertise in complex deformity correction and limb reconstruction
Advanced surgical techniques like Ilizarov fixators and modern osteotomies
Personalized care and comprehensive rehabilitation for optimal results
Focus on restoring function, mobility, and quality of life









